Ο καρκίνος που ανασαίνει μαζί μας: Μπορούμε να τον νικήσουμε;

Με πρόληψη, επαγρύπνηση και τις σωστές ιατρικές επιλογές, μπορεί να αντιμετωπιστεί αποτελεσματικά

Κάνε κλικ και δες περισσότερο emakedonia.gr στην αναζήτηση της Google

Πρόσθεσέ το στην Google
Δρ Νικόλαος Γ. Μπαρμπετάκης, MD,PhD, FEBTS,
Χειρουργός Θώρακος,
Διευθυντής Θωρακοχειρουργικής Κλινικής Κυανούς Σταυρός

Ο καρκίνος του πνεύμονα είναι από τις πιο σοβαρές μορφές καρκίνου, αλλά δεν είναι πάντα καταδικαστικός. Σήμερα, η ιατρική επιστήμη έχει προχωρήσει σημαντικά και μας δίνει εργαλεία πρόληψης, έγκαιρης διάγνωσης και αποτελεσματικής χειρουργικής θεραπείας. Η τεχνική 3D-LUMINA που εφαρμόζεται στην Κλινική Euromedica - Κυανούς Σταυρός αποτελεί ένα σημαντικό όπλο στην φαρέτρα του σύγχρονου θωρακοχειρουργού. Η γνώση μπορεί να γίνει δύναμη – και ίσως, σωτήρια ανάσα.

Πρώιμη Διάγνωση: Το «κλειδί» για καλύτερη πρόγνωση

Ο καρκίνος του πνεύμονα συχνά δεν προκαλεί συμπτώματα στα αρχικά στάδια. Γι’ αυτό είναι σημαντικό να:

  • Μιλάς με τον γιατρό σου εάν έχεις χρόνιο βήχα, δύσπνοια, πόνο στο στήθος ή αιμόπτυση.
  • Αν είσαι σε ομάδα υψηλού κινδύνου (π.χ. πρώην ή νυν καπνιστής άνω των 50), εξετάσου με αξονική τομογραφία χαμηλής δόσης (low-dose CT). Είναι απλή και σώζει ζωές.

Στατιστικά, όταν ο καρκίνος διαγνωστεί στα πρώιμα στάδια, οι πιθανότητες επιβίωσης αυξάνονται σημαντικά.

Χειρουργική Αντιμετώπιση ή « Όταν η αφαίρεση σημαίνει ελπίδα»

Αν ο καρκίνος εντοπιστεί νωρίς και είναι χειρουργήσιμος:

  • Η επέμβαση στοχεύει στην πλήρη αφαίρεση του όγκου και του πάσχοντος μέρους του πνεύμονα.
  • Πλέον, οι περισσότερες επεμβάσεις γίνονται με ελάχιστα επεμβατικές τεχνικές, μειώνοντας την ταλαιπωρία για τον ασθενή.
  • Μετεγχειρητικά, μπορεί να χρειαστεί συμπληρωματική θεραπεία, αλλά η χειρουργική συχνά αποτελεί καθοριστικό βήμα για ίαση.
kianous-stauros2.jpg?v=0
kianous-stauros3.jpg?v=0

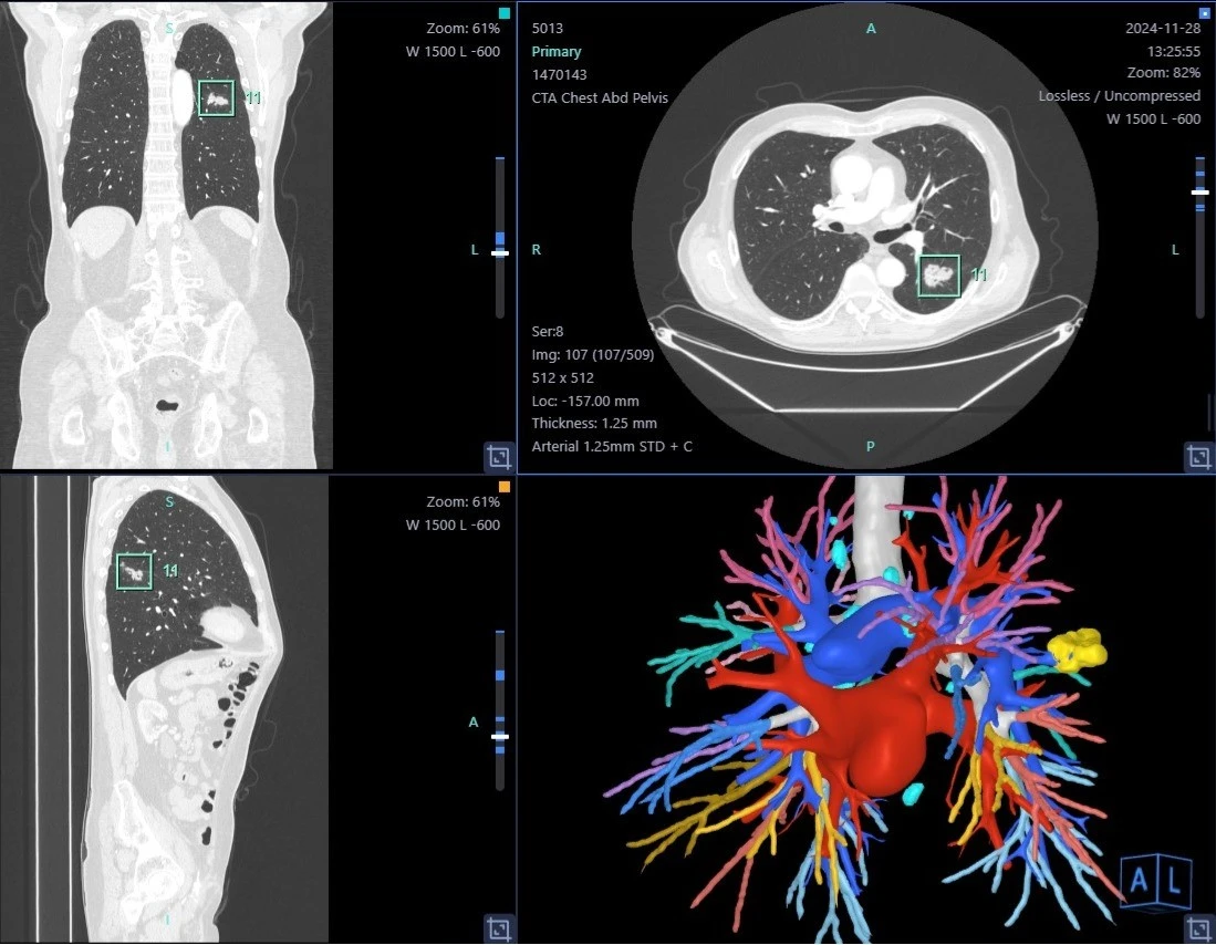
Στην Κλινική Euromedica-Κυανούς Σταυρός μπορούν να σας καθοδηγήσουν και να σας υποστηρίξουν σε όλα τα βήματα, από την πρόληψη στην έγκαιρη διάγνωση και την χειρουργική αντιμετώπιση. Η Θωρακοχειρουργική Κλινική του Κυανού Σταυρού χρησιμοποιεί τεχνολογίες αιχμής στην παρακολούθηση, ταυτοποίηση και αντιμετώπιση μονήρων πνευμονικών όζων.

kianous-stauros4.jpg?v=0

Εφόσον κριθεί και αποφασιστεί στα πλαίσια του Ογκολογικού Συμβουλίου ότι ο πνευμονικός όζος πρέπει να αφαιρεθεί εφαρμόζεται σε όλους ανεξαιρέτως τους ασθενείς η τεχνική 3D-LU.M.I.N.A. (3D - LUng Mapping with Icg and Navigation Assistance).

Η τεχνική εντοπισμού μονήρους πνευμονικού όζου με συνδυασμό τρισδιάστατης (3D) αξονικής απεικόνισης και έγχυσης ινδοκυανίνης (ICG – Indocyanine Green) είναι μια καινοτόμος και ιδιαίτερα αποτελεσματική προσέγγιση που εφαρμόζεται κυρίως σε ελάχιστα επεμβατικές θωρακοχειρουργικές τεχνικές.

  1. Προσχεδιασμός με Τρισδιάστατη CT Απεικόνιση:
    • Πραγματοποιείται υψηλής ανάλυσης αξονική τομογραφία θώρακος (CT).
    • Τα δεδομένα ανασυντίθενται σε τρισδιάστατο μοντέλο των πνευμονικών δομών, περιλαμβάνοντας αγγεία, βρόγχους και τον όζο.
    • Αυτό επιτρέπει τον ακριβή υπολογισμό της θέσης του όζου σε σχέση με ανατομικά ορόσημα (π.χ. αγγεία, λοβοί, βρογχοπνευμονικά τμήματα).
  2. Διεγχειρητική Χρήση Ινδοκυανίνης (ICG):
    • Η ICG μπορεί να χορηγηθεί είτε: α) ενδοφλέβια, για να αναδείξει την αιμάτωση/περιφέρεια ενός τμήματος, β) ή τοπικά μέσω βρογχοσκοπικής έγχυσης, απευθείας γύρω από τον όζο (ιδιαίτερα σε δύσκολες περιοχές).
    • Κατά τη διάρκεια της επέμβασης, χρησιμοποιείται ειδική camera NIR (Near Infrared) για να ανιχνεύσει τη φθορίζουσα ουσία και να απεικονίσει την περιοχή.
  3. Συνδυασμός Δεδομένων σε Πραγματικό Χρόνο:
    • Το προεγχειρητικό 3D μοντέλο "συγχωνεύεται" με την διεγχειρητική εικόνα (κάποιες φορές μέσω τεχνολογίας επαυξημένης πραγματικότητας - augmented reality ή λογισμικών πλοήγησης).
    • Ο χειρουργός γνωρίζει με μεγάλη ακρίβεια πού βρίσκεται ο όζος ακόμα και αν είναι μη ψηλαφητός.

Πλεονεκτήματα:

  • Yψηλή ακρίβεια στον εντοπισμό μικρών ή εν τω βάθει πνευμονικών όζων.
  • Σεβασμός στον πνευμονικό ιστό.
  • Kαθοδήγηση τμηματεκτομής ή σφηνοειδούς εκτομής.
  • Δυνατότητα εντοπισμού πολλαπλών όζων.
  • Μείωση κινδύνου μη ανεύρεσης του πνευμονικού όζου (missed nodule) ή ανεπαρκούς εκτομής.

Εφαρμογές:

  • Σε πρώιμους καρκίνους του πνεύμονα.
  • Σε αλλοιώσεις δίκην θολής υάλου (GGO, ground-glass opacity).
  • Σε λεμφαδενικό καθαρισμό ή δειγματοληπτικό έλεγχο
  • Σε υποτροπές ή μεταστάσεις από άλλους όγκους.
  • Σε υψηλού κινδύνου ασθενείς όπου απαιτείται ελάχιστα επεμβατική προσέγγιση.

Η 3D-LUMINA που εφαρμόζεται αποκλειστικά στον Κυανού Σταυρό είναι μια υβριδική τεχνική απεικόνισης που συνδυάζει τρισδιάστατη ανασύνθεση πνευμονικών δομών με φθορίζουσα καθοδήγηση μέσω ινδοκυανίνης.

kianous-stauros5.jpg?v=0

Μετατρέπει την αόρατη ανατομία σε έναν φωτεινό χάρτη — εκεί όπου η τεχνολογία, η ιατρική και η τέχνη συναντιούνται. Ο καρκίνος του πνεύμονα δεν είναι πλέον άγνωστος ή ανίκητος. Με πρόληψη, επαγρύπνηση και τις σωστές ιατρικές επιλογές, μπορεί να αντιμετωπιστεί αποτελεσματικά – ιδίως όταν ανακαλύπτεται νωρίς. Μην αμελήσετε τα σημάδια, μιλήστε με τον γιατρό σας και προστατέψτε την πιο πολύτιμη σας ανάσα: τη ζωή.

nikolaos-mparmpetakis.jpg?v=0

Δρ Νικόλαος Γ. Μπαρμπετάκης, MD,PhD, FEBTS,
Χειρουργός Θώρακος,
Διευθυντής Θωρακοχειρουργικής Κλινικής Κυανούς Σταυρός

Κάνε κλικ και δες περισσότερο emakedonia.gr στην αναζήτηση της Google

Πρόσθεσέ το στην Google
Loader
ESPA