Θεσσαλονίκη: Ο καρκίνος δεν είναι ανίκητος - Ημερίδα με θέμα «Προσεγγίζοντας το χολαγγειοκαρκίνωμα»
Εκδήλωση στο ΚΕ.Δ.Ε Α του Αριστοτελείου Πανεπιστημίου Θεσσαλονίκης
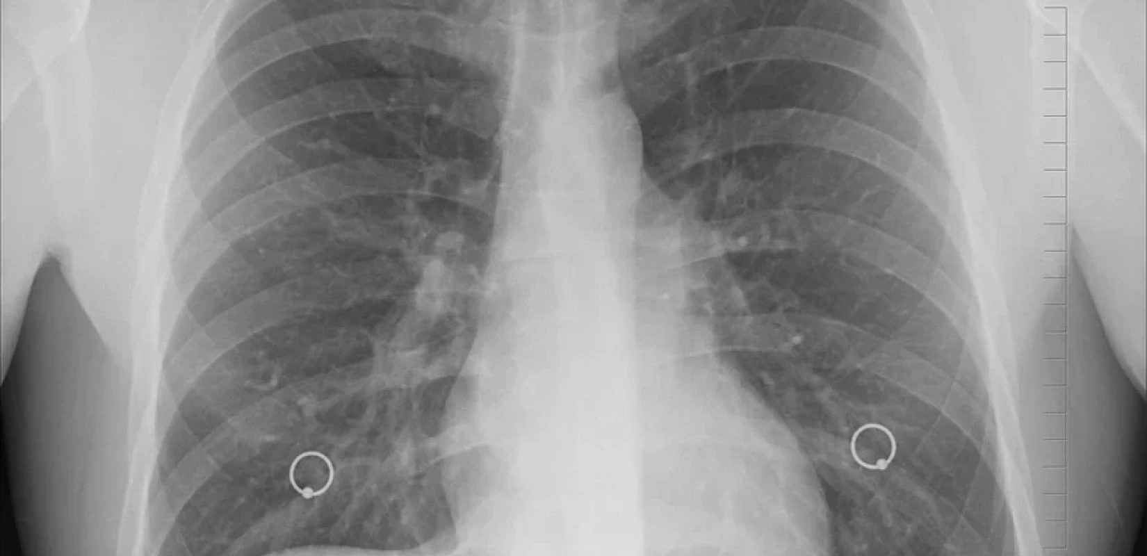
Αύξηση κατά 17% τα τελευταία 30 χρόνια
Κάνε κλικ και δες περισσότερο emakedonia.gr στην αναζήτηση της Google
Πρόσθεσέ το στην Google- Newsroom
Μία μικρή πόλη χάνεται κάθε χρόνο στην Ευρώπη από καρκίνο του πνεύμονα, που θεωρείται κατά βάση ανδρική ασθένεια, αφού σύμφωνα με τον καθηγητή Πνευμονολογίας στην Ιατρική Σχολή του Πανεπιστημίου Κρήτης και αντιπρόεδρο της Ελληνικής Πνευμονολογικής Εταιρείας Νίκο Τζανάκη, περίπου το 80% των περιπτώσεων παρουσιάζεται σε άντρες και περίπου ένα 20% στις γυναίκες. Όπως δηλώνει ο καθηγητής στο Πρακτορείο Fm και στην εκπομπή της Τάνιας Η. Μαντουβάλου «104,9 ΜΥΣΤΙΚΑ ΥΓΕΙΑΣ», το σύνολο των καρκίνων που καταγράφηκαν το 2020 διεθνώς σε ένα παγκόσμιο Registry, ήταν περίπου 20 εκατομμύρια και προκάλεσαν 10 εκατομμύρια θανάτους. «Από αυτά τα 20 εκατομμύρια τα περίπου δύο εκατομμύρια, το 11.5%, ήταν καρκίνοι του πνεύμονα. Ωστόσο, ενώ οι καρκίνοι του πνεύμονα συμμετέχουν με 11.5% στο συνολικό αριθμό καρκίνων σαν νέες περιπτώσεις, έχουμε περίπου 1,8 θανάτους. Δηλαδή, η θνησιμότητα αγγίζει το 20%. Επομένως, ο καρκίνος του πνεύμονα είναι ένας καρκίνος όχι μόνο συχνός, αλλά και θανατηφόρος. Στην Ευρώπη 500.000 νέα περιστατικά καρκίνου πνεύμονα εμφανίζονται ετησίως και προκαλούνται 385.000 θάνατοι από αυτούς».
Ανδρική ασθένεια με αναλογία 1 γυναίκα προς 4 άνδρες- Ο συχνότερος και από τους πιο θανατηφόρους καρκίνους
Στην Ελλάδα, λέει ο κ. Τζανάκης, έχουμε 10.000 νέα περιστατικά καρκίνου πνεύμονα το χρόνο με μία αναλογία 1 γυναίκα προς 4 άνδρες. «Στο πανεπιστήμιο της Κρήτης από το 1992, έχει οργανωθεί ένα πολύ αξιόπιστο Παγκρήτιο Registry καρκίνου, το οποίο θεωρώ ότι δεν υπάρχει πουθενά αλλού στην Ελλάδα και πιθανότατα είναι ένα από τα ακριβέστερα παγκοσμίως. Το Κέντρο Καταγραφής Καρκίνου Κρήτης δημιουργήθηκε από τον καθηγητή Βλαχονικολή και τώρα διευθύνεται από τον καθηγητή Γενικής Ιατρικής και Πρωτοβάθμιας Φροντίδας Υγείας Χρήστο Λιονή. Μπορούμε να θεωρήσουμε ότι τα δεδομένα του Κέντρου, αντιπροσωπεύουν λίγο και ολόκληρη την Ελλάδα, ίσως με μικρές διαφοροποιήσεις. Είναι ενδεικτικό πάντως ότι το 1992 στην Κρήτη είχαμε 449 νέους καρκίνους, ανά 100.000 κατοίκους. Το 2022, 524 νέα περιστατικά, ανά 100.000 κατοίκους. Δηλαδή αύξηση καρκίνων μέσα σε 30 χρόνια 17% ανεξαρτήτως αιτίας και οργάνου. Και η θνησιμότητα, από 189 θανάτους ανά 100.000 πληθυσμού το 1992, έχει πάει στους 211, ανά εκατό χιλιάδες κατοίκους, τριάντα χρόνια μετά. Ενώ δηλαδή η αύξηση αγγίζει το 17%, η θνησιμότητα παρουσιάζει μία αύξηση 11,6%. Αυτά τα δύο νούμερα αναλογικά, σημαίνουν ότι κάπως καλύτερα αντιμετωπίζουμε τους καρκίνους στο πέρασμα των τριών δεκαετιών. Από όλους αυτούς τους καρκίνους, ο καρκίνος των πνευμόνων αντιπροσωπεύει περίπου το 60-64%, δηλαδή είναι ο συχνότερος. Αμέσως μετά έρχονται κατά σειρά και συχνότητα ο καρκίνος μαστού, προστάτη, παχέoς εντέρου, ήπατος και ενδοηπατικών χοληφόρων, και ουροδόχου κύστεως».
Η ΕΠΕ ετοιμάζει τα κριτήρια για να μπει η αξονική χαμηλής ακτινοβολίας στο Εθνικό Πρόγραμμα Πρόληψης
Όσον αφορά το screening για τον καρκίνο του πνεύμονα που ακόμη δεν έχει συμπεριληφθεί στο πρόγραμμα προσυμπτωματικού ελέγχου, παρά το γεγονός ότι είναι από τους συχνότερους και πιο θανατηφόρους καρκίνους, ο καθηγητής λέει ότι θα πρέπει να μπει στο μεγάλο Εθνικό Πρόγραμμα Πρόληψης του Καρκίνου. «Υπάρχουν αντικειμενικές δυσκολίες, γιατί οι μεθοδολογίες που υπάρχουν για αυτή την πρώιμη διάγνωση και την πρόληψη, είναι χρονοβόρες και οικονομικά πάρα πολύ ευαίσθητες. Και αυτή τη στιγμή η ελληνική πνευμονολογική εταιρεία, σε συνεργασία με την Ακτινολογική και Θωρακοχειρουργική Εταιρεία, ετοιμάζει τα κριτήρια, βάσει των οποίων, θα μπει η αξονική χαμηλής ακτινοβολίας στο Εθνικό Πρόγραμμα Πρόληψης. Η ΕΠΕ ετοιμάζεται να προμηθεύσει το δημόσιο και τους εθνικούς φορείς με τα προτεινόμενα κριτήρια για το screening που πρέπει να γίνει σε συγκεκριμένο πληθυσμό. Θα προτείνουμε αυτά τα κριτήρια στο υπουργείο Υγείας, ώστε να αρχίσει πλέον να συστηματοποιείται η πρόληψη και αυτού του πολύ θανατηφόρου καρκίνου και στην Ελλάδα, όπως γίνεται με το μαστό και με άλλους καρκίνους».
Κάνε κλικ και δες περισσότερο emakedonia.gr στην αναζήτηση της Google
Πρόσθεσέ το στην GoogleΕκδήλωση στο ΚΕ.Δ.Ε Α του Αριστοτελείου Πανεπιστημίου Θεσσαλονίκης
Όσα ειπώθηκαν στο περιθώριο του συνεδρίου με θέμα «Η Χειρουργική Ογκολογία… εκτός ορίων»
Το 25% από αυτούς τους θανάτους αφορά στον καρκίνο του μαστού. Περίπου οι μισοί θάνατοι γυναικών σχετίζονται με νοσήματα που μπορούν να προληφθούν ή να διαγνωσθούν πρώιμα
Σήμερα η Ελλάδα υστερεί σε δημόσια δαπάνη υγείας περίπου σε σχέση με τον ευρωπαϊκό μέσο όρο και αυτό γίνεται επί 40 χρόνια περίπου, τόνισε ο κ. Αθανασάκης, επίκουρος καθηγητής Οικονομικών Υγείας