Σοκ και οργή στην Κρήτη: Πυροβόλησε στο κεφάλι σκύλο που έπαιζε με δύο παιδάκια στην αυλή τους (βίντεο)
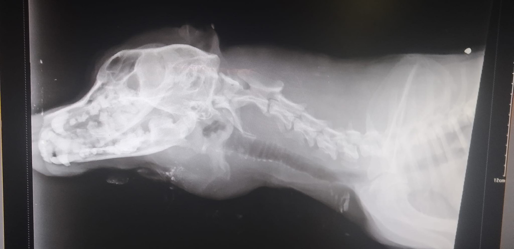
Τα παιδιά ευτυχώς δεν έπαθαν τίποτα ενώ και ο σκύλος γλίτωσε από θαύμα, καθώς έχει τριάντα σκάγια στο κεφάλι
Ένα απίστευτο περιστατικό να σημειώθηκε το πρωί της Δευτέρας στην περιοχή Ψυχικό Σερρών
Κάνε κλικ και δες περισσότερο emakedonia.gr στην αναζήτηση της Google
Πρόσθεσέ το στην Google- Newsroom
Ένα απίστευτο περιστατικό να σημειώθηκε το πρωί της Δευτέρας στην περιοχή Ψυχικό Σερρών.
Η ανάρτηση του Φιλοζωικού Συλλόγου Εμμανουήλ Παππά:
«Αυτός κυρίες και κύριοι είναι ο Smiley… Τα τελευταία δέκα χρόνια μέχρι και σήμερα ζούσε στο Ψυχικό. Δεν ενοχλούσε κανέναν, έκανε τις βόλτες του στο χωριό και είχε κάποιες αυλές που πήγαινε για να ζητιανέψει κανένα ξεροκόμματο για να γεμίσει την κοιλίτσα του.
Όταν ζούσε, σ αυτούς που του συμπεριφερόντουσαν όμορφα τους χαμογελούσε με εκείνο τα αθώο χαμόγελο που μόνο τα παιδιά και τα σκυλιά ξέρουν να χαρίσουν. Όταν ζούσε….
Σήμερα το πρωί μόλις ξημέρωσε, ξεκίνησε για τη συνηθισμένη του βόλτα στο χωριό. Δε μπορούσε όμως ο φουκαράς να φανταστεί ότι θα ήταν και η τελευταία του. Υποθέτουμε ότι κάποια στιγμή στη βόλτα του συναντήθηκε με έναν ψυχασθενή που κρατούσε στα χέρια του ένα αεροβόλο. Αραγε αν ήξερε θα προλάβαινε ο φουκαράς Smiley να αλλάξει διαδρομή;
Πώς κατάφερε αυτός ο παρανοϊκός και τον πυροβόλησε δέκα φορές (τουλάχιστον) και κανένας δεν άκουσε ούτε το κλάμα του σκύλου αλλά και ούτε τους πυροβολισμούς; Πώς μπόρεσε μετά να σηκώσει το μισοπεθαμένο κορμάκι του και να το πετάξει στα σκουπίδια;
Πώς αντέχει αυτό το δίποδο τέρας μετά να αγκαλιάζει τη γυναίκα του, τη μάνα του, τα παιδιά του; Ερωτήματα που θα μείνουν αναπάντητα αν δεν ανοίξει κάποιος το στόμα του. Γιατί στο χωριό κάποιος ξέρει, κάποιος άκουσε και δε μιλάει. Κάποιος είδε αλλά έστρεψε αλλού το κεφάλι. Και όποιος δε μιλάει είναι συνένοχος στο έγκλημα.
Μικρέ μου Smiley…. Μικρέ μου χαμογελαστούλη… Εκεί που πήγες να ξέρεις πως το μισό χωριό σε ψάχνει και κλαίει για τον άδικο χαμό σου. Μαζί τους κλαίω και γω»
Κάνε κλικ και δες περισσότερο emakedonia.gr στην αναζήτηση της Google
Πρόσθεσέ το στην GoogleΤα παιδιά ευτυχώς δεν έπαθαν τίποτα ενώ και ο σκύλος γλίτωσε από θαύμα, καθώς έχει τριάντα σκάγια στο κεφάλι
Η ηλικιωμένη μεταφέρθηκε στην Αστυνομική Διεύθυνση, αστυνομικοί της οποίας την συνέλαβαν και πήραν μαζί τους τα νεογέννητα για να παραδώσουν σε φιλόζωους
Ο σκύλος φέρει τραύματα σε όλο του το σώμα, στο πίσω του πόδι έχει βαθύ τραύμα, ενώ διαπιστώθηκε και εσωτερική αιμορραγία
Υποστηρίζει ότι ο σκύλος έτρωγε κότες από το κοτέτσι του στον Λαγκαδά και επιχείρησε να τον σταματήσει - Εκτός από το πρόστιμο στον δράστη, ασκήθηκε και ποινική δίωξη και θα κληθεί ενώπιον της δικαιοσύνης